Immediate Fully Digital Implant Restorations
in 15 Minutes

Scan&Smile™ enables clinicians to deliver highly esthetic, provisional restorations directly on the implant — in just 15 minutes. Designed to optimize efficiency without compromising quality, this chairside solution is built on three seamlessly integrated technologies.

Play
A New Category Defined: Abutment-Free Immediate Implantology

Play
matrix® Placement
Placement of matrix® implants


Intra Oral Scanning
Scan patient with an Intraoral Scanner
TRI® AI Crown Design
Design of patient-specific crown


Produce
3D Printing of provisional restoration
Insertion
Insertion of matrix® provisional restoration

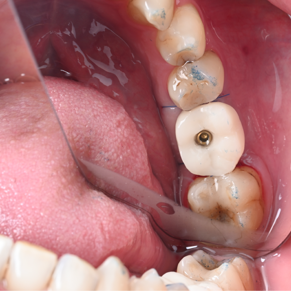
CASE IN ACTION
The Fastest Implant Smile in the World
Courtesy of Dr. Marco Zeltner (Switzerland)
Would you like to know more about the Scan & Smile in 15 minutes?
Book a 15 Minute online introduction with our Team.









